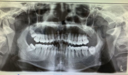
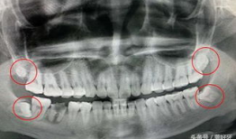
你知道吗?拔智齿这个话题,最近在网络上可是火得一塌糊涂呢!很多人都在好奇,拔智齿到底是个啥样的过程,是不是像传说中的那么恐怖?今...
今晚国足比赛直播视频:激情四溢,不容错过的视觉盛宴夕阳西下,夜幕降临,又是一个激情澎湃的夜晚。今晚,中国国家足球队即将迎来一场备...
你有没有发现,最近网上那些韩国主播的视频简直让人停不下来啊!从搞笑到才艺展示,从日常生活到时尚穿搭,他们简直成了我们生活中的一道...
你有没有听说过“凿壁偷光”的故事?这个故事不仅在中国家喻户晓,而且在世界各地都有它的身影。那么,你知道这个故事的主人公是谁吗?今...
你有没有听说最近网上那部《金瓶梅2》的视频?简直火得一塌糊涂!这不,我就迫不及待地来和你聊聊这部让人又爱又恨的作品。《金瓶梅2》...
你有没有想过,有时候在QQ视频聊天中,那些精彩瞬间是不是也想永久保存下来呢?没错,今天就要来和你聊聊这个话题——QQ视频下载。别...
你有没有发现,最近上网的时候,总有一些视频网站上的“在线视频久久”让人忍不住多看几眼?这可不是普通的视频,它们就像是一块磁铁,牢...
亲爱的读者们,你是否曾在某个闲暇的午后,想要轻松地放松却又不想离开温暖的被窝?那就让我带你走进一个充满乐趣的世界——日韩视频在线...
亲爱的读者,你是否曾好奇过男男视频在线这个话题呢?在这个信息爆炸的时代,网络世界充满了各种奇妙的内容。今天,就让我带你一起探索这...
亲爱的读者,你是否曾在夜空中仰望那璀璨的银河,想象着那无尽的宇宙奥秘?今天,就让我带你走进一个充满奇幻色彩的世界——银河视频,一...